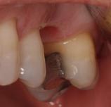
Implant Crowns Below

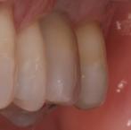
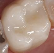
Cerec Crown Done in just one visit!

Notice how the Cerec crown on the tooth on the right looks much more life-like than the old crown on the tooth on the left.

Old type of crown

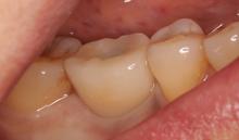
Before             After

Actual unretouched photos from our patients showing how beautiful Cerec technology is in making crowns in just one visit. These are the most comfortable and healthiest crowns that are available today.